반포에서만 20년!
서울대학교 교정전문의 직접진료

logo

KIM&PARK DENTAL

늦지 않은 지금!
중장년교정

늦었다고 생각하지 마시고 시작하세요

치아교정,
나이가 들어도 가능합니다!

잇몸상태가 건강하다면 치아교정은 어느 연령에서나 가능합니다.
성인일 수록 치료에 대한 협조도가 높고
본인의 치아 상태를 잘 파악하고 있기 때문에
치료의 결과도 높습니다.

KIM&PARK DENTAL

중장년교정 추천대상

  • 이런분께 추천드립니다

    • 임플란트를 위한 공간이 부족한 경우
    • 치아가 벌어지고 삐뚤어져 서로 지지하는 힘이 부족한 경우
    • 나이가 들면서 자연스럽게 아랫니가 틀어진 경우
    • 젊을 때부터 치열이 고르지 않아 콤플렉스가 있는 경우
    • 부정교합으로 식사가 불편하고 소화장애가 생기는 경우

KIM&PARK DENTAL

중장년교정시 고려할 점

교정 치료는 나이와는 무관하고 잇몸 상태에 따라 치료가 달라지게 됩니다.
성공적인 교정치료를 위해서는 잇몸 상태에 대한 파악이 우선입니다. 
또한 지병으로 복용하는 약이 있다면 교정 하기 전 담당의사에게 꼭 해당 사항을 전달해야 합니다.(ex : 관절염, 골다공증, 당뇨)
만성질환이 있는 경우에는 중장년 교정의 효과가 미비할 수 있으니 치과교정과 전문의와 꼭 상담 후 진행하셔야 합니다.

  • 1

    잇몸의 상태

  • 2

    전신 질환의 유무

  • 3

    노화에 따른
    얼굴 변화의 예측

  • 4

    사회적 지위와
    부정교합 상태에 맞는
    교정장치의 선택

  • 5

    교정 기간

KIM&PARK DENTAL

중장년교정의 장점

  • 이런점이 좋습니다

    • 저작 기능이 개선되어 먹는 즐거움이 살아납니다.
    • 노안에서 벗어나 더욱 건강한 이미지 연출이 가능해집니다.
    • 틀어진 부분만을 교정하는식으로 치료 기간 단축이 가능합니다.
    • 심미성이 우수한 장치를 선택하여 치료 기간 중 부담이 적습니다.

KIM&PARK DENTAL

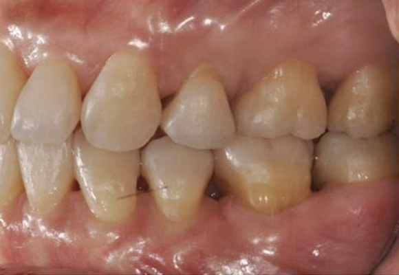
치료사례로 보는 중장년 교정

    • 비뚤어진 치아 교정

    • 비뚤어진 치아 교정